2014-08-19
Dostęp do wpisu:
Publiczny
| A może by tak...? (czytano: 1922 razy)

Człowiek pomyśli sobie tylko: A może by tak Poznań Maraton...? I bach! Marzenia prysnęły jak bańka mydlana...
Jechałam sobie rowerkiem z pracy do domu. No i wyrósł przede mną "wielki" krawężnik (ach te polskie ścieżki rowerowe!). Źle wymierzyłam, koło się "omksnęło", prawa fizyki są bezwzględne no i spadłam z roweru na prawą nogę. I...? W lewą coś nagle zabolało...
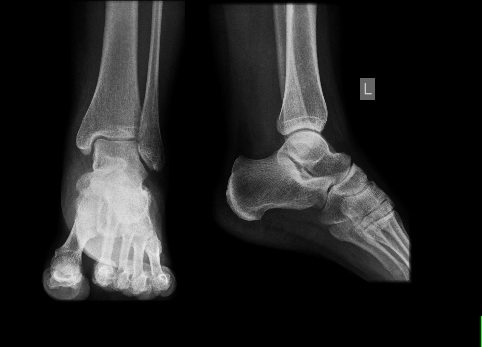
Nie obyło się bez wizyty w SOR, gdyż nogę wlokłam dosłownie za sobą. Szybko zrobiła się fioletowa i spuchła jak bania. Poddano mnie badaniu lekarskiemu (lekarz macał i macał moją kostkę - przyjemne to to nie było), potem wysłał mnie na RTG. Złamania na szczęście nie było, ale rozpoznano silne stłuczenie okolicy kostki przyśrodkowej lewego stawu skokowego - cokolwiek to znaczy...
Doktorek nie mógł uwierzyć, że to pedał od roweru zrobił mi taką krzywdę. W zaleceniach miałam wypisane następujące punkty: okłady z lodu, altacet, maść kojąca, opaska elastyczna i hit! Kula łokciowa do odciążania kończyny po stronie przeciwnej do urazu przez około 10 dni...
To wszystko stało się 14.07. Po 10-ciu dniach wyjeżdżałam na wyczekiwane wakacje. Zastanawiałam się już, czy nie poprzesuwać o jakiś miesiąc wyjazdu, ale wszystko było już zaklepane. No i trochę bardzo w górach przeciążyłam nogę. Dopiero w zeszłym tygodniu zaczęłam chodzić bez opaski. Zdarza się, że wieczorami czasem lekko boli. O bieganiu dłuższym niż truchcik 100-200 m na tramwaj/autobus nie ma na chwilę obecną mowy...
Jeszcze brzmi mi w uszach śmiech kolegi-homofoba z wakacji:
- A co zrobiłaś w nogę?
- No wiesz, jakby to powiedzieć - pedał mnie uderzył...
- No widzisz - bo wszystkiemu winne są te pedały!
A tylko sobie człowiek pomyślał - A MOŻE BY TAK POZNAŃ MARATON...? Może w przyszłym roku się uda :) Na chwilę obecną tęsknym wzrokiem odprowadzam mijających mnie biegaczy...
Na zdjęciu - RTG mojej nogi...
Blog moga komentować tylko Przyjaciele autora żiżi (2014-08-20,13:10): Szkoda..wracaj do zdrowia:) michu77 (2014-08-21,08:42): ...czasami już tak jest, że z naszych planów wychodzą przysłowiowe nici. Zdrowiej!!!
|